Bulging Disc Decompression Centre- Melbourne Australia
Spinal stenosis is the most common spinal condition leading to surgery in the elderly patient. Stenosis refers to a narrowing of the spinal canal to a degree where the spinal cord or nerve roots may be compromised. Spinal stenosis may occur throughout the spine but is more common in the low back, however is more dangerous in the neck due to the presence of the spinal cord. In the neck, this is referred to as cervical spinal stenosis and in the low back as lumbar spinal stenosis. Thoracic spinal stenosis is much less common.
Stenosis is from degenerative changes in the intervertebral discs and joints of the spine. Stenosis may be from any significant narrowing into the canal space or from a combination of changes that all lead to stenosis. The perimeter of the spinal canal is made up of a combination of structures including the intervertebral disc, the foramen, facet joints, and ligamentum flavum. Bone spurs may develop around the vertebra and facet joints that interfere with space for the spinal cord. Degenerative changes in supporting spinal ligaments may cause thickening and narrow space in the spinal canal. The posterior facet joints may be enlarged from arthritic changes. Disc protrusions, bulging discs or herniations may also narrow the spinal canal. Combined effects from any of these changes can place the spinal cord at risk if space is significantly narrowed inside the spinal canal. Spinal stenosis does tend to progress with ongoing degenerative changes.
SYMPTOMS
Symptoms depend on whether narrowing affects the spinal nerve roots, the spinal cord, or both. If only spinal nerve roots are involved the patient will experience radiculopathy with symptoms in their arms or legs depending on the location.
MYELOPATHY
Myelopathy describes any neurologic symptoms related to the spinal cord and is a serious condition. It can cause permanent spinal cord injury. Myelopathy occurs from spinal stenosis that causes pressure on the spinal cord. If untreated, this can lead to significant and permanent nerve damage including paralysis and death. Symptoms may affect one’s gait and balance, fine motor skills including dexterity, grip strength, and changes in bowel or bladder function. It can impinge nerve roots and cause pain, weakness, or sensory changes in either your arms or legs. You may notice changes in your positional sense of both arms and legs. This makes it difficult to use your arms and hands or to know where you are placing your feet as you walk. You may notice handwriting changes. You may walk differently and have difficulty balancing, frequently stumbling or falling. You may drop items and have difficulty performing fine motor tasks such as buttoning your clothes, clasping your jewelry or even texting or typing. Bowel or bladder function changes may cause you to lose a sense of needing to urinate or be unable to hold your bladder with incontinence. Any of these symptoms are important to recognize and require urgent medical evaluation.
NEUROGENIC CLAUDICATION
Neurogenic claudication is a common symptom from lumbar spinal stenosis. Neurogenic claudication literally means cramping or painful legs from a nerve problem. This is not to be mistaken from vascular claudication where the cramping arises from inadequate blood supply. Symptoms may include pain, numbness, and weakness in the buttocks or legs. The symptoms are classically aggravated by standing and walking which increases the curve of the lumbar spine. This causes thickening of the ligamentum flavum and narrowing of the spinal canal. Pain is relieved by sitting or bending forward, not simply by rest alone as in vascular claudication. Sitting relieves symptoms by straightening the spine and stretching the ligament to re-open the spinal canal. This is also achieved by bending forward. Many patients with neurogenic claudication find that they have improved symptoms when climbing stairs, pushing a shopping cart or resting bent forward. Neurogenic claudication is thought to be from decreased blood flow to the lumbosacral nerve roots due to compression, which is why symptoms are often positional.
CAUDA EQUINA SYNDROME
The spinal cord in adults usually ends at the start of the lumbar spine where it transitions to free floating nerves called cauda equina. Cauda equina literally translates to ‘horse-tail’ named so aptly due to its appearance. The end of the spinal cord is called the conus medullaris. From here, nerves branch from the lower end of the spinal cord to contain the nerve roots from the lumbar spine and sacrum. These nerves send and receive messages to and from the lower limbs and pelvic organs. The nerve roots from L4-S4 join in the sacral plexus to create the sciatic nerve.
Damage to these nerves can result in a serious neurologic condition known as cauda equina syndrome. Damage to the cauda equina causes acute loss of function of the lumbar nerve roots. Symptoms may include sciatic leg pain and weakness, loss of sensation over the genitals, anus and inner thighs, bowel or bladder incontinence and sexual dysfunction. Patients with this syndrome are urgently admitted to the hospital for surgery as this can lead to permanent paralysis and incontinence.
DIAGNOSIS
A complete history and physical exam are a necessary part of your medical work-up. Several diagnostic tests can be used including standard x-rays and other imaging such as an MRI or CT scan.

CERVICAL SPINAL STENOSIS

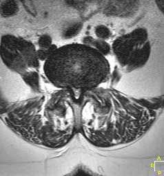
LUMBAR SPINAL STENOSIS

LUMBAR SPINAL STENOSIS, AXIAL VIEW.
Source: https://www.spinemd.com/symptoms-conditions/spinal-stenosis
TREATMENT
Spinal stenosis treatment include physical therapy and is often used in conjunction with medications to stabilise and improve symptoms. A therapy program assists in calming pain and inflammation and improving mobility and strength. Non-Surgical Spinal Decompression therapy will gently stretch the joints and muscles it will open the posterior elements reduce the pressure within the disc and spine to provide symptom relief.